Nos valeurs
Nos engagements

Écoute
Expertise
Expérience
Écoute

Lors de votre première visite, nous vous proposons d’effectuer un examen clinique visuel et radiographique , nous effectuerons un bilan de votre bouche.
Faites nous part des difficultés que vous rencontrez avec vos dents : difficultés à mastiquer, douleurs, perte de confiance dans votre sourire ou tout simplement une peur de l’intervention.

En accord avec votre chirurgien dentiste, nous vous proposerons les meilleures solutions thérapeutiques répondant à vos exigences et vos attentes. La dentisterie actuelle permet de retrouver le sourire dans un grand confort.

Un devis clair et détaillé vous sera remis avant les interventions qui ne sont pas toujours prises en charge par la sécurité sociale.

La partie prothétique (couronnes sur implants et prothèses dentaires) sera réalisée par votre chirurgien dentiste qui vous soumettra son propre devis.

Expertise

Spécialistes en implantologie et chirurgie orale, épaulés par une équipe compétente et entrainée , nous continuons chaque année à nous former pour vous proposer les techniques récentes les plus fiables et efficaces.

Expérience

Nous pratiquons l’implantologie depuis plus de 15 ans, cette solide expérience nous permet de proposer des solutions pour les cas les plus simples comme les plus complexes même chez des patients complètement édentés.

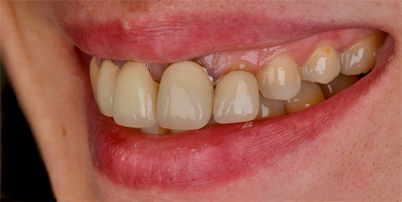
Exemple de cas complexe

Avant
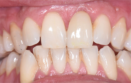
Après
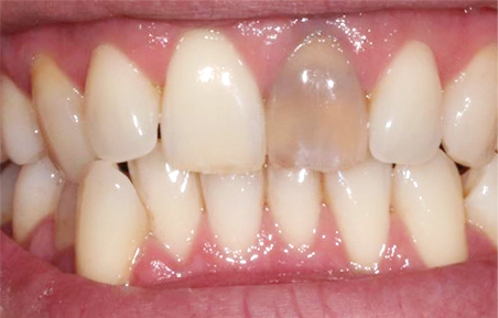
Avant
Après